СаркоидозСтраница 6
КЛИНИЧЕСКИЕ ПРОЯВЛЕНИЯ
Клинические проявления саркоидоза и степень их выраженности весьма разнообразны. Для большинства случаев характерно несоответствие удовлетворительного общего состояния и обширности поражения легочной ткани и ВГЛУ. Начало заболевания может быть бессимптомным, постепенным или острым. При отсутствии клинических проявлений, что наблюдается у 10% больных, заболевание обычно выявляется при рентгенологическом обследовании грудной клетки. Наиболее часто (у 2/3 больных) имеет место постепенное начало заболевания со скудной клинической симптоматикой: болью в груди, между лопаток, сухим кашлем, одышкой при физическом напряжении, общим недомоганием. Аускультативные изменения в легких часто отсутствуют, иногда могут выслушиваться жесткое дыхание и сухие хрипы. Острое начало заболевания, наблюдаемое примерно у 1/4 больных, характеризуется лихорадкой, появлением узловатой эритемы, полиартрита.

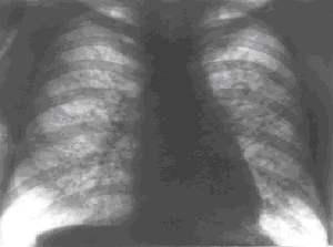
Рис. 2. Рентгенограмма грудной клетки больного саркоидозом внутригрудных лимфатических узлов и легких. Резко выраженное усиление и деформация легочного рисунка за счет диффузного уплотнения и инфильтрации интерстициальных структур, рассеянных мелких очаговоподобных теней, диффузной реакции плевры. Корни легких умеренно расширены за счет увеличения бронхопульмональных внутригрудных лимфоузлов.
Указанный симптомокомплекс при саркоидозе ВГЛУ характерен для синдрома Лефгрена (S. LЪfgren, 1961). Часто при саркоидозе поражаются слюнные железы, что проявляется их припухлостью, уплотнением, сухостью во рту. Сочетание саркоидоза ВГЛУ, слюнных желез, глаз (увеита, иридоциклита) и лицевого нерва носит название синдрома Хеерфордта (С. F. Heerfordt). Острое начало саркоидоза не является прогностически неблагоприятным признаком, для таких случаев характерно быстрое и полное рассасывание изменений в пораженных органах, а выраженная симптоматика позволяет своевременно установить диагноз и начать лечение.
Саркоидоз органов дыхания сочетается с экстрапульмональными поражениями почти у 20% больных. Наиболее частыми внелегочными локализациями процесса являются периферические лимфатические узлы (до 40%), кожа и подкожная клетчатка (около 20%), почки, печень, селезенка, сердце, нервная система. Реже поражаются щитовидная железа, глотка, кости, молочные железы. Интактными при саркоидозе остаются только надпочечники.
Внелегочные локализации саркоидоза обычно имеют множественный характер, и их наличие, как правило, предопределяет рецидивирующее течение заболевания.
Существует два основных пути выявления больных саркоидозом. На долю профилактических осмотров, в том числе флюорографии, приходится от 1/3 до 1/2 случаев преимущественно с бессимптомным или постепенным началом болезни. От 1/2 до 2/3 больных выявляют при обращении к врачам, причем как в связи с клиническими проявлениями саркоидоза, так и по поводу других заболеваний.
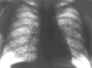
Рис. 3. Рентгенограмма грудной клетки больного саркоидозом легких.
ДИАГНОСТИКА
Основными задачами диагностики саркоидоза являются выделение характерного клинико-рентгенологического симптомокомплекса, гистологическая верификация диагноза и определение активности процесса.
Важнейшая роль в выявлении и установлении предварительного диагноза принадлежит рентгенографии; томо- и зонографию легких через плоскость корней с поперечным размазыванием теней, компьютерную томографию используют как уточняющие методы. Основу рентгенологического симптомокомплекса при саркоидозе органов дыхания составляют внутригрудная аденопатия, диссеминация и интерстициальные изменения, обусловленные явлениями альвеолита и пневмосклероза. Для саркоидоза характерно двустороннее увеличение ВГЛУ преимущественно бронхопульмональных групп, хотя в 5 – 8% случаев наблюдают одностороннее поражение, что может вызывать диагностические трудности. Симптом внутригрудной аденопатии наблюдают изолированно при саркоидозе ВГЛУ (рис.1) или в сочетании с изменениями легочной ткани при саркоидозе ВГЛУ и легких (рис.2). Легочная диссеминация характеризуется рассеянными очаговоподобными тенями диаметром от 2 до 7 мм, тяготеющими к плевральным оболочкам и сосудам и более тесно располагающимися в аксилярных зонах. Интерстициальные изменения проявляются мелкосетчатой деформацией легочного рисунка, обусловленной инфильтрацией внутридольковых интерстициальных структур. Часто наблюдают симптом "матового стекла" – диффузное снижение прозрачности легочной ткани – проявление альвеолита.
