СаркоидозСтраница 5
IL-6, как маркер активности воспаления при саркоидозе, имеет двойственную природу. При остром вопалении IL-6 в синергизме с другими цитокинами –IL-1b и TNF-a - необходим для индукции острофазового ответа, характеризующегося лихорадкой, активацией процесса миграции лейкоцитов из периферической крови в очаг воспаления, освобождением кортизола и продукцией гепатоцитами острофазовых белков. У больных с активным саркоидозом отмечаются высокие уровни экспрессии IL-6 альвеолярными макрофагами. При хроническом течении саркоидоза IL-6 обладает иммунорегулирующими свойствами, способствуя активации и пролиферации Т-лимфоцитов, а также синтезу антител плазматическими клетками. В этой связи оценку значимости уровня экспрессии IL-6 как прогностического параметра саркоидоза необходимо проводить с учетом активности заболевания.
В настоящее время интенсивно изучается роль противовоспалительных цитокинов в иммунорегуляторных процессах при саркоидозе легких. К их числу, как известно, относится IL-10, ингибирующий продукцию цитокинов, а также пролиферацию моноцитов и лимфоцитов. Важнейшим иммунорегуляторным фактором является также TGF-b, который имеет важное прогностическое значение при саркоидозе, особенно для оценки возможной спонтанной ремиссии заболевания. TGF-b1 принадлежит к суперсемейству протеинов, необходимых для клеточного роста и дифференцировки, а также для синтеза белков внеклеточного матрикса. Он является также мощным иммуномодулятором, проявляющим противовоспалительные свойства и ингибирующим развитие Тh1-клеток. Оказалось, что у больных со спонтанной ремиссией заболевания уровень TGF-b1 существенно повышен в супернатантах клеток ЖБАЛ, а при прогрессирующем течении не отличается от контрольных значений. Эти данные свидетельствуют о возможности существования механизмов, подавляющих развитие гранулематозного воспаления при саркоидозе. Однако остается не ясным, действительно ли TGF-b1 является ключевым цитокином, приводящим к спонтанной ремиссии саркоидоза и, возможно, связанным с активацией особых популяций Т-лимфоцитов, либо он действует в синергизме с другими, пока еще неизвестными ингибиторными факторами.
Таким образом, для более полной характеристики особенностей иммунопатогенеза саркоидоза, необходимо дальнейшее изучение цитокиновой регуляции и межклеточных взаимодействий в легочной ткани больных саркоидозом наряду с иммуногенетическими исследованиями, выявляющими особенности полиморфизма генов системы HLA и ключевых цитокинов. Результаты таких исследований позволят выявить наиболее значимые маркеры активности воспаления, оценить прогноз заболевания и будут способствовать развитию и внедрению в клиническую практику новых подходов к иммунопатогенетической терапии саркоидоза.
КЛАССИФИКАЦИЯ
Предложены разнообразные классификации саркоидоза. Наиболее широко используется классификация К.Wurm (1958), в которой выделяют 3 стадии болезни: 1 – изолированное поражение внутригрудных лимфатических узлов, 2 – сочетанное поражение ВГЛУ и легких, 3 – сочетанное поражение ВГЛУ и легких с выраженными распространенными фиброзными изменениями.
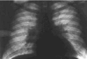
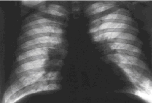
Рис. 1. Рентгенограмма грудной клетки больного саркоидозом внутригрудных лимфатических узлов. Корни легких расширены, значительное двустороннее увеличение внутригрудных лимфатических узлов, преимущественно бронхопульмональных. Умеренно выраженное усиление легочного рисунка в прикорневых отделах.
В данной классификации жестко схематизировано течение заболевания и не нашли отражения возможности первичного развития саркоидоза ВГЛУ и легких, изолированного поражения легких, сочетание легочной и внелегочной локализации саркоидоза, воспалительная активность процесса. В классификации саркоидоза органов дыхания, предложенной А.Г.Хоменко и соавт. (1982), выделены 5 клинико-рентгенологических вариантов заболевания: саркоидоз ВГЛУ; саркоидоз ВГЛУ и легких; саркоидоз легких; саркоидоз органов дыхания, комбинированный с единичным внелегочным поражением; генерализованный саркоидоз (органов дыхания и множественным поражением других органов). Указаны также фазы развития заболевания (активная, регрессии, стабилизации), характер течения (спонтанная регрессия, благоприятное, рецидивирующее, прогрессирующее), осложнения (стеноз бронха, ателектаз, дыхательная и легочно-сердечная недостаточность) и остаточные изменения (пневмосклероз, эмфизема легких, адгезивный плеврит).
