Рецессия десны. Этиология, клинические проявления и современные методы леченияСтраница 9
II. Двухслойные методики

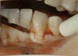
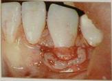
Суть этих методик в том, что между первичным лоскутом и поверхностью корня помещается второй слой – соединительная ткань, полученная, как правило, с области твердого неба (рис. 12). Давно установлено, что подлежащая под слизистой соединительная ткань является хорошим источником клеток для репопуляции эпителия и надежным источником для увеличения зоны кератинизированной десны. Забор аутотрансплантата проводится из зоны от первого моляра до резцов. В зависимости от вида получаемого трансплантата (с эпителиальной полоской или без) используются различные техники разреза. Существует целая классификация разрезов на твердом небе по Liu.
Наиболее распрастроненные способы:
1. Метод забора трансплантата с 4-х разрезов – Первый разрез проводится под углом 90 градусов к поверхности кости до надкостницы, второй – на толщину первичного лоскута (~ 1мм). Расстояние между разрезами 2-3 мм. Препарирование проводится через второй разрез единым движением параллельно небу. Вертикальные разрезы проводят до надкостницы, откидывается первичный лоскут, трансплантат отсекается в основании, затем отделяется от донорского ложа.
2. Метод одного разреза– Первичный разрез до надкостницы и одномоментная препаровка первичного лоскута с отделением соединительнотканного трансплантата.
3. Метод забора трансплантата с 2-х разрезов– Первый разрез проводится ближе к зубам до кости. Второй – отступив на требуемую ширину, глубиной 1 мм. Затем трансплантат отсекается по периферии и отделяется от надкостницы.
Фактически все двуслойные методы – это однослойные методы с добавлением аутотрансплантата.
К ним относят следующие варианты:
1.Langer и Langer (1985) – совмещение коронально перемещенного лоскута и соединительнотканного трансплантата. Препарирование расщепленного первичного лоскута включает в себя горизонтальные, вертикальные разрезы и деэпителизацию сосочков.





2.Nelson (1987) – латерально позиционированный лоскут и соединительнотканный трансплантат.Из-за технической сложности, необходимости в большой зоне кератинизированной десны латерально и медиально от рецессии в настоящее время не используется.
3.Harris (1992) – двойной сосочковый лоскут и соединительнотканный трансплантат. Не используется по тем же причинам, что и метод Nelson.
4.Bruno (1994) – модификация метода Langer и Langer без вертикальных разрезов, что улучшило эстетический результат и увеличило площадь кровоснабжения трансплантата. Разрез у сосочков проводится под прямым углом для плотного сопоставления и ушивания краев трансплантата и донорской раны «стык в стык». Трансплантат всегда помещается на надкостницу, поэтому ткани расщепляются на первичный лоскут и принимающее ложе. Для ушивания без натяжения проводится широкая препаровка в основании и по боковым краям первичного лоскута. Для надежной фиксации трансплантата используются позиционирующие (фиксация в нужном положении) и фиксирующие швы (удержание на принимающем ложе).
