Рецессия десны. Этиология, клинические проявления и современные методы леченияСтраница 4

IV класс — потеря десны и кости в межзубных промежутках — циркулярная (подкласс А — у ограниченного количества зубов, подкласс Б — генерализованная горизонтальная потеря десны).
Леус П.А. и Казеко Л.А.определяют рецессию как прогрессирующее смещение десневого края в апикальном направлении с одновременным оголением шейки и корня зуба. В 1993 году авторы предложили клиническую классификацию рецессии десны.
При этом выделяется 3 типа рецессий:
I.Травматическая рецессия:
• локализованная;
• генерализованная.
II.Симптоматическая рецессия:
• локализованная;
• генерализованная;
• системная.
III. Физиологическая рецессия:
• системная.
По степени тяжести выделяется:
легкая (до 3 мм)
средней тяжести (3–5 мм)
тяжелая (6 и более мм)
Также рекомендовано различать 2 типа рецессии: видимую и скрытую. Видимая рецессия может быть определена врачом как расстояние от эмалево-цементной границы до десневого края (высота рецессии) и расстояние между вертикальными краями рецессии на уровне эмалево-цементной границы (ширина рецессии).Скрытая рецессия обнаруживается только при зондировании.
Клинические проявления

Локальная рецессия
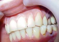
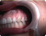
Локальная рецессия (рис. 6), как правило, может возникать в местах низкоприкрепленной уздечки илиэпителиальных тяжей (складок) преддверия полости рта, при вестибулярном расположении зубов и их скученности (чаще это встречается в области вестибулярно-расположенных клыков). Локальная рецессия может быть результатом плохо поставленной коронки, когда не соблюдены всеправила при формировании маргинальной ее части. Кроме того, в последние годы растетколичество людей, увлекающихся пирсингом. А между тем, длительное ношение пирсинга может привести не только к образованию ло-кальной рецессии десны, но и к расшатыванию и даже потере зуба.Локальная рецессия может возникать как при локализованном ювенильном пародонтите, где деструктивные процессы в костной ткани отмечаются в области первых моляров и резцов, так и вследствие хронических деструктивных периапикальных процессов, вызванных резорбцией или перфорацией корня.



Иногда при локальной рецессии отмечается образование уплотненного десневого валика(фестон Маккола – McCall’s feston),который чаще всего бывает выражен навестибулярной поверхностив области клыков и премоляров (рис. 7). Также отмечается нарушение целостности десны, которая напоминает разрез десневого края(щель Стильмана – Stillman’s Clefts (рис. 8)).При этом в клинике при ЛР происходит обнажение шейки зуба и частиего корня, что приводит к эстетическим недостаткам и повышеннойчувствительности обнаженных поверхностей к термическим и химическим раздражителям.Неровный пришеечный контур, особенно при треугольной формы рецессиидаже при отсутствии гиперчувствительности затрудняет проведение гигиены, увеличивая вероятность кариеса корня. Агрессивная чистка зубов приводит к потере твердых тканей зубов в пришеечной области и возникновению клиновидных дефектов.
Если же причиной возникновения рецессии явилась перфорация корня, обычно вначале развивается воспалительный процесс. Клинически он у пациентов с перфорациейкорня сопровождается выраженным пародонтальным карманом сгнойнымотделяемым, податливостью или подвижностью зуба, появлением десневой рецессии.Иногдаотмечается гипертрофическое разрастание маргинальной десны исвищевой ход, а при рентгенологическом исследовании определяютсядеструктивные изменения костнойткани вокруг корня.При бессимптомном течении патологического процесса, вызванногоперфорацией, локальная рецессияможет быть первым признаком еепроявления.
