Рецессия десны. Этиология, клинические проявления и современные методы леченияСтраница 5

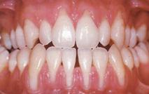
Генерализованная рецессия
Генерализованная рецессия (рис. 9) может быть проявлением физиологического процесса старения, когда происходит так называемое «прорезывание зубов».Многие конституциональные особенности, такие как мелкое преддверие полости рта, тонкая кортикальная пластинка альвеолы с явлением фенестрации, механическая травма десневого края пищей, зубной щеткой, плохо прилегающими коронками и пломбами, а также появление супраконтактов зубов приводят к генерализованной потере десны.
Генерализованная рецессия чаще всего является результатом длительно протекающего пародонтита безвыраженных пародонтальных карманов, а также атипичных форм проявления быстропрогрессирующегопародонтита, при котором потеря десны может быть единственной жалобой пациента.Данный процессвстречается у пациентов при незначительной зоне прикрепленной десны, вестибулярном расположениианатомически крупных зубов и выраженном сокращении круговой мышцы губы (чаще всего это встречается у актеров, оперных певцов и у представителей других специальностей, где необходима профессиональная дикция и постоянная работа мимической мускулатуры).Наличие воспалительного процесса и пародонтальных карманов при наличии десневой рецессии способствует подвижности зуба,делая его более уязвимым к жевательным нагрузкам.Нередко травматическая ситуация (перегрузказуба, наличие супраконтактов) приводит к десневой рецессии в тех участках, где возникают боковые силы, при этом зуб достаточно долго сохраняет устойчивость.Гингивальная рецессия может быть интерпроксимальной, создающей пространства, в которых аккумулируются остатки пищи, зубной налет и бляшка, в результате может возникать вторичный воспалительный процесс.
Планирование лечения
Показания к лечению
В основном рецессию десны рассматривают как эстетическую проблему, но с обнажением корня зуба могут быть связаны:
· Повышенная чувствительность оголенного участка корневой поверхности
· Кариес корня
· Абфракционные дефекты
Наличие рецессии не является прямым показанием к ее устранению. Только косметические требования пациента или сочетание с другими проблемами определяет необходимость хирургического вмешательства.
Показаниями для устранения рецессии являются:
1. Эстетические требования пациента
2. Гиперчувстительность зубов
3. Подготовка к ортопедическому и ортодонтическому лечению
4. Высокий риск развития кариеса корня
5. Прогрессирующие рецессии
Оценка локального статуса
Локально исследование рецессии включает в себя ряд параметров, которые необходимо заносить в историю болезни пациента или специальную форму.
Глубина и ширина рецессии - глубина измеряется от эмаево-цементной границы до десневого края. Если имеется клиновидный дефект или пломба, то замер необходимо проводить от наиболее апикальной точки, положение которой останется неизменным в ближайший временной промежуток. Это требуется для оценки степени закрытия рецессии после операции. Ширину рецессии измеряют по наиболее широкой ее части в области эмалево-цементной границы.
Глубина зондирования и состояние тканей пародонта - Глубина зубодесневой борозды не должно превышать 1-3 мм. Высота межзубного сосочка определяется по заполненности межзубного промежутка. Состояние костной ткани определяется по прицельному снимку.

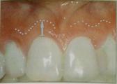
Зона кератинизированной десны вокруг рецессии – Имеет одно из определяющих значений при планировании операции. Важны два параметра:
· Ширина кератинизированных тканей (ШКД) – измеряют от десневого края до слизисто-десневой линии (которая определяется тестом «валика» или окрашиванием слизистой растворами йода)(рис. 10).
