Рецессия десны. Этиология, клинические проявления и современные методы леченияСтраница 2
2. Травматические факторы

А) Хроническая механическая травма, в частности, средствами гигиены полости рта при их неправильном использовании и/или чрезмерное усилие при проведении гигиенических процедур, постоянное использование высокоабразивных зубных паст и щеток с жесткой незакругленной щетиной. Особенно большой вред наносит чистка зубов горизонтальными движениями (рис. 2). Причем у правшей более выражена рецессия с левой стороны зубного ряда. Ударный контур зубного ряда создает условия, при которых зубы, находящиеся вне зубной дуги, первыми испытывают повреждающее действие зубной щетки
Б) Травма стуктур пародонта различного генеза, втом числе обусловленная вредными привычками пациента. Сюда можно отнести: держание ручки или карандаша во рту, неправильное использование зубочисток, десневых стимуляторов, сосание языка, а также его переднее положение (инфантильный тип глотания), которое нередко сохраняется с раннего возраста. При этом язык упирается в язычную поверхность десны нижних резцов,что приводит к рецессии и последующему воспалению в этой области. Играет роль также жевание табака и других агрессивных для слизистой субстанций (бетель, наст и др.).В последнее время возрасла травмирующая роль пирсинга (губы, язык).
Следует иметь ввиду, что рецессия как результат хронической травмы средствами гигиены часто сочетается с пришеечными дефектами эмали.
3. Окклюзионные факторы
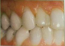
Включают в себя окклюзионную перегрузку зубов, неправильное положение зуба в зубном ряду, патологии прикуса, деформации зубных рядов в результате частичной потери зубов. Супраконтакты, протрузионное положение зубов в переднем отделе, скученность зубов еще более нарушают кровоснабжение костной ткани с вестибулярной поверхности зубов и предрасполагают к возникновению рецессии.Чем более выражена патология прикуса (особенно открытого и глубокого), тем больше вероятность возникновения рецессии десны.Отсутствие и невыраженный экватор зуба также способствует продавливанию пищевого комка к десне при жевании и дополнительной травматизации маргинального пародонта.При окклюзионной травме (преждевременный контакт) в периодонтальной связке возникают очаги повышенного сжатия и напряжения (ишемии), что со временем приводит к формированию зон усиленной ремоделировки альвеолярной кости с преобладанием остеокластического компонента. В дальнейшем периодонтальная связка разрушается, а кость подвергается резорбции. При хронической травме происходит воронкообразное расширение 
периодонтальной связки, резорбция краевой кости и формирование дегисценции. Эти процессы, представляющие собой процесс адаптации тканей пародонта к неадекватному воздействию, ведут к снижению уровня прикрепления и формированию рецессий (рис.3). Таким образом, окклюзионные факторы – это опосредованные травматические.
При подозрении на окклюзионную травму, как возможную причину рецессии, необходимо сначала выявить и устранить ее, а уже потом проводить оперативное лечение.
4. Воспалительные факторы

Следствием воспаления является уменьшение высоты кости межзубных перегородок, что ведет к формированию рецессий 3 и 4 класса (Рис. 4). Особенно этому способствует длительное вялотекущее воспаление, хотя и агрессивные быстропрогрессирующие (особенно ювенильная форма) пародонтиты могут быть причиной.
5. Ятрогенные факторы
К этой группе можно отнести травматическое удаление соседних зубов, ожоги мышьяковистой пастой, травмы борами, поддесневое препарирование опорных зубов с нарушением биологической ширины, формирование избыточной толщины и неадекватного нависающего края коронки или пломбы, ретракцию десны. Достаточно часто рецессия возникает вследствие хронических деструктивных периапикальных процессов, вызванных резорбцией или перфорацией корня, трещинами корня.Как правило, такие перфорации являются результатом эндодонтического лечения или ортопедического лечения с использованием штифтов и культевых вкладок.Процесс резорбции костной ткани идет гораздо быстрее при перфорации вестибулярной поверхности корня и сопровождается выраженной деструкцией кости, появлением свища и рецессии корня. При бессимптомном же течении перфорации именно рецессия часто бывает первым симптомом этой ятрогенной патологии
