Рецессия десны. Этиология, клинические проявления и современные методы леченияСтраница 3
Отдельно следует выделить операции на пародонте и ортодонтическое лечение. Первые являются причиной в силу образования рубцов, потери нормального зубодесневого прикреплнения и нарушения трофики тканей, а неконтролируемое перемещение зубов и приложение чрезмерных сил могут приводить к образованию дигисценции альвеолярной кости, вследствие чего возникают рецесси.Лабиальное передвижение зубов во время ортодонтического лечения может быть причиной истончения вестибулярной десны и альвеолярной кости.Ортодонтические брекеты, проволочные ортодонтические конструкции затрудняют удаление зубного налета, 
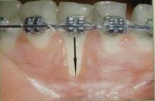
способствуют гингивиту.Рецессия десны — это одно из наиболее часто встречающихся осложнений ортодонтического лечения, причем оно сильнее выражено при применении форсированных методик лечения (рис. 5).Учитывая это обстоятельство, перед лечением ортодонт должен оценить ширину прикрепленной десны и при необходимости направить пациента на консультацию к пародонтологу. При малой ширине прикрепленной десны с вестибулярной стороны передних зубов до ортодонтического лечения рекомендуется проводить ее увеличение. Нетрудно заметить, что ятрогенными все эти факторы называются условно, а по своей сути являются травматическими.
Исходя из всего выше сказанного, можно заключить, что рецессия десны – полиэтиологическое состояние. В основе ее возникновения лежат анатомические предпосылки, такие костные дегисценции, дефицит зоны кератинизированной десны, тонкий биотип. Под воздействием хронической травмы (агрессивная чистка зубов, окклюзионная перегрузка, ятрогенное воздействие) происходит апикальная миграция десневого края с обнажением поверхности корня. Для получения предсказуемого результата важно выявить причину развития рецессии. Поэтому нельзя пренебрегать ни одним из указанных факторов и определять этиологию заболевания нужно, последовательно исключая каждый из них во время диагностики.
Классификации рецессии десны
Sullivan и Atkins (1968 год) классифицировали рецессию десны по четырем группам: глубокая-широкая, мелкая-широкая, глубокая-узкая, мелкая узкая. Они заключили, что глубокая-широкая десневая рецессия является наиболее трудным для устранения дефектом и имеет наименее предсказуемый прогноз. Miller (1985 год) расширил эту классификацию таким образом, чтобы учитывать характер и качество десневой рецессии, а также соотношение с прилегающими межзубными сосочками.
Классификация P.D. Miller


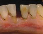
I класс — рецессия в пределах свободной десны.Потеря десны и/или кости в межзубных промежутках отсутствует (подкласс А — узкая, подкласс Б — широкая).


II класс — рецессия в пределах прикрепленной десны. Потеря кости и/или десны в межзубных промежутках отсутствует (подкласс А — узкая, подкласс Б — широкая).


III класс — рецессия II класса сочетается с поражением апроксимальных поверхностей (подкласс А — без вовлечения соседних зубов, подкласс Б — с вовлечением соседних зубов). При этом десна в межзубных промежутках находится апикальнее цементно-эмалевого соединения, но корональнее десневого края с вестибулярной поверхности зуба.
