Инфекционные ЭндокардитыСтраница 2
- аортальные или митральные пороки
- синдром Марфана
- артерио-венозные фистулы
Диагноз инфекционного эндокардита:
1. Общие и периферические симптомы:
- “землистый” цвет кожи
- петехии на коже, слизистой рта, нёба, на конъюнктиве (симптом Лукина)
- геморрагические пятна Джейнуэя (на ладонях и стопах)
- узелки Ослера (на пальцах рук и ног)
- лимфоаденопатия
2. Висцеральные поражения:
- сердечно-сосудистая система: порок аортального или митрального клапана, миокардит, сердечно-сосудистая недостаточность и(или) аритмии
- почки: диффузный гломерулонефрит, экстракапиллярный гломерулонефрит
- гепато- и спленомегалия
- синовиты суставов: артральгии, артриты
Осложнения:
- геморрагический синдром: носовые, желудочно-кишечные кровотечения, кровоизлияния в сетчатку (пятна Рота)
- тромбоэмболический синдром с развитием инфарктов в различных органах
- ДВС - синдром
- септические аневризмы: аортального клапана, межжелудочковой перегородки, мозга
- диссеминирование инфекции: менингит, остеомиелит, абсцесс селезенки, миокарда, пиелонефрит
- острая почечная недостаточность
- острая сердечно-сосудистая недостаточность
- острая почечно-печеночная недостаточность
Иммунологические изменения при ИЭ затрагивают как гуморальные, так и клеточные факторы системы защиты организма.
Среди важнейших изменений в гуморальном иммунитете можно отметить:
· поликлоновую гипер g-глобулинемию с высокими титрами Ig M и G
· продукцию аутоантител (криоглобулины, ревматоидные факторы, антимиокардиальные антитела)
· нарушения в механизме активации комплемента
· образование циркулирующих иммунных комплексов (ЦИК).
Отмечаются угнетение Т-системы лимфоцитов в активной стадии заболевания и гиперфункция В-системы. Имеются данные о нарушении системы мононуклеарных фагоцитов, связанном с персистенцией бактериального антигена в крови.
Лабораторные методы исследования:
- периферическая кровь: панцитопения или анемия с лейкоцитозом, нейтрофилезом, ускорение СОЭ;
-
биохимические исследования: увеличение фибриногена, положительный С-реактивный белок, диспротеинемия, увеличение протромбинового индекса, билирубина, остаточного азота, мочевины и др.;
- характерна бактериурия (для посева производят забор крови из 3-х вен с интервалом в 15 минут по 10 мл), после 2-х недельной антимикробной терапии посев крови может быть отрицательный;
- анализ мочи: протеинурия, гематурия, бактериурия
Достоверный диагноз инфекционного эндокардита
1. Лихорадка.
2. Шум в сердце.
3. Эмболии.
4. Бактериемия.
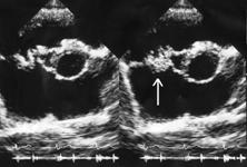
5. Вегетации на клапанах по данным ЭхоКГ
Предположительный диагноз инфекционного эндокардита.
1. Лихорадка неясного генеза.
2. Шум в сердце или эмболии.
Дифференциальный диагноз инфекционного эндокардита.
Дифференциальный диагноз инфекционного эндокардита проводится:
1. С приобретенными пороками сердца (при ревматизме, системной красной волчанке, ревматоидном полиартрите, сифилитическом мезоаортите, миксоме левого предсердия или желудочка).
2. С врожденными пороками сердца.
3. С кардиомиопатиями.
4. С миокардитами.
5. С гломерулонефритом, спленомегалиями, геморрагическим васкулитом.
6. С сепсисом.
7. С онкозаболеваниями.
Лечение инфекционного эндокардита
Лечение инфекционного эндокардита обязательно стационарное. Постельный режим до улучшения состояния.
Основной вид лечения - антибактериальная терапия, которая начинается после забора крови для бакпосева. Предпочтительно применение бактерицидных антибиотиков широкого спектра действия .
